뇌동맥류란? 이해하기 쉽게 풀어본 뇌동맥류의 모든 것
뇌동맥류는 뇌 속의 동맥 벽이 비정상적으로 확장되어 풍선처럼 부풀어 오른 상태를 말합니다. 이러한 현상은 혈관 벽이 약해져 혈압을 견디지 못하면서 발생하며, 조기 발견과 치료가 매우 중요합니다.



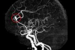
뇌동맥류의 주요 발생 부위와 크기
대부분의 뇌동맥류는 뇌 기저부에 위치한 윌리스환에서 발생합니다. 뇌동맥류의 크기는 수 밀리미터에서 수 센티미터까지 다양하며, 시간이 지나면서 점차 커질 수 있습니다. 크기가 커지면 주변 신경을 압박하여 다양한 증상을 유발할 수 있습니다.



뇌동맥류의 위험성: 파열 시 생명 위협
뇌동맥류는 발견 즉시 적절한 치료가 필요합니다. 특히 파열될 경우 뇌지주막하출혈과 같은 생명을 위협하는 상황을 초래할 수 있습니다. 파열된 동맥류는 갑작스러운 극심한 두통과 함께 심각한 신경학적 증상을 동반할 수 있어 신속한 의료 개입이 필수적입니다.



뇌동맥류의 원인: 유전적 요인과 생활습관
뇌동맥류의 발생 원인은 다양합니다. 선천적으로 혈관 벽이 약한 경우가 있으며, 이는 유전적 요인과 밀접한 관련이 있습니다. 가족력이 있는 경우 발생 위험이 더욱 높아집니다. 후천적인 요인으로는 고혈압, 흡연, 과도한 음주, 동맥경화증 등이 주요 원인으로 작용합니다. 또한, 스트레스와 과로도 혈관에 부담을 주어 동맥류 형성을 촉진할 수 있습니다.



초기 증상과 발견 방법
파열되지 않은 뇌동맥류는 대부분 무증상으로 발견되며, 우연한 검사에서 발견되는 경우가 많습니다. 그러나 동맥류가 커지면서 두통, 시력 저하, 복시 등의 증상이 나타날 수 있습니다. 파열된 경우에는 갑작스러운 극심한 두통, 구토, 의식 저하 등이 급격히 나타나며, 즉각적인 의료 조치가 필요합니다.



뇌동맥류 진단 방법
뇌동맥류를 정확히 진단하기 위해서는 정밀한 뇌 영상 검사가 필수적입니다. 대표적인 검사 방법으로는 전산화단층촬영(CT), CT 혈관조영술(CTA), 자기 공명영상(MRI), 자기 공명혈관조영술(MRA) 등이 있습니다. 특히, 뇌혈관조영술은 가장 정확한 진단 방법으로 치료 계획 수립에 중요한 정보를 제공합니다.



효과적인 치료 방법: 수술적 치료 vs 혈관 내 치료
뇌동맥류의 치료는 크게 두 가지로 나뉩니다. 첫째, 수술적 치료로는 개두술을 통해 동맥류의 목 부분을 금속 클립으로 차단하는 방법이 있습니다. 이는 전통적인 방법으로, 특히 표면에 위치한 동맥류나 크기가 큰 경우에 효과적입니다. 둘째, 혈관 내 치료는 최소 침습적으로 카테터를 이용하여 동맥류 내부에 코일을 삽입하는 방법으로, 수술이 어려운 위치의 동맥류 치료에 유용합니다. 치료 방법은 환자의 상태와 동맥류의 특성에 따라 결정됩니다.
뇌동맥류 예방을 위한 생활습관 관리
뇌동맥류를 예방하기 위해서는 위험 요인을 철저히 관리하는 것이 중요합니다. 정기적인 혈압 측정과 관리, 금연, 적절한 음주 제한, 규칙적인 운동 등이 필요합니다. 또한, 스트레스 관리를 통해 혈압 상승을 예방하고, 가족력이 있는 경우 정기적인 검진을 받는 것이 좋습니다. 40세 이상이라면 건강검진 시 뇌 MRI나 MRA 검사를 포함시키는 것을 권장합니다.
결론
뇌동맥류는 조기 발견과 적절한 치료가 생명을 구하는 데 매우 중요합니다. 위험 요인을 관리하고 정기적인 검진을 통해 뇌동맥류를 예방하는 노력이 필요합니다. 증상이 의심될 경우 즉시 의료기관을 방문하여 전문가의 진단을 받는 것이 최선의 방법입니다.