폐결핵 원인부터 예방까지 모든 정보
폐결핵은 결핵균이 폐에 감염되어 발생하는 심각한 호흡기 질환으로, 적절한 치료와 예방 조치가 중요합니다. 이 글에서는 폐결핵의 원인, 전염 경로, 증상, 진단 방법, 치료법 및 효과적인 예방 전략에 대해 자세히 알아보겠습니다.



폐결핵의 원인과 전파 경로
결핵균(M. tuberculosis) 소개
폐결핵의 주된 원인은 마이코박테리움 투베르쿨로시스(Mycobacterium tuberculosis)라는 결핵균입니다. 이 세균은 공기 중에 떠다니는 비말을 통해 전파되며, 감염된 사람이 기침이나 재채기를 할 때 주변으로 퍼집니다.
전파 환경과 위험 요인
결핵균은 밀폐된 공간에서 오랜 시간 동안 노출될 경우 감염 위험이 높아집니다. 특히 환기가 잘 되지 않는 환경에서의 장시간 접촉은 결핵 전파의 주요 원인입니다. 또한, 면역력이 저하된 사람들, 예를 들어 HIV 감염자, 당뇨병 환자, 항암 치료 중인 환자 등은 결핵에 감염될 확률이 높습니다.



폐결핵의 주요 증상
초기 증상과 진행 과정
폐결핵의 초기 증상은 일반 감기와 유사하여 구별이 어려울 수 있습니다. 그러나 다음과 같은 특징적인 증상이 나타날 수 있습니다.
- 지속적인 기침: 2주 이상 지속되며, 기침이 점차 악화됩니다.
- 발열과 오한: 주로 저녁에 나타나는 미열과 밤에 식은땀이 특징입니다.
- 체중 감소와 피로감: 의도치 않은 체중 감소와 만성 피로가 동반됩니다.
심각한 증상
- 객혈: 기침 시 피가 섞인 가래가 나오는 경우 즉시 의료기관을 방문해야 합니다.
- 흉통과 호흡곤란: 폐결핵이 진행되면서 흉통과 호흡 곤란이 발생할 수 있습니다.
- 전신 쇠약감: 증상이 심해지면 전신적인 쇠약감이 나타납니다.



폐결핵의 진단 방법
임상적 평가
의료진은 환자의 증상과 발병 이력을 바탕으로 폐결핵을 의심할 수 있습니다. 특히, 지속적인 기침과 체중 감소가 있는 환자는 결핵 검사를 고려합니다.
주요 진단 검사
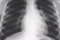
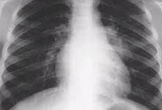
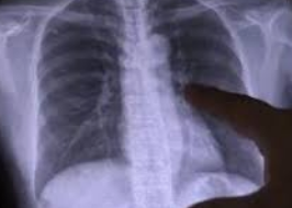
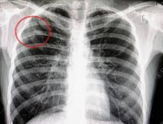
- 흉부 X-선 검사: 폐 내부의 결핵 병변을 확인하는 데 사용됩니다.
- 객담 검사: 결핵균의 존재를 확인하기 위해 객담을 채취하여 검사합니다. 객담 도말 검사와 배양 검사를 통해 정확한 진단이 가능합니다.
- 투베르쿨린 피부반응 검사 (TST): 결핵 감염 여부를 확인하는 데 사용됩니다.
- 인터페론 감마 방출 검사 (IGRA): 잠복 결핵 감염을 진단하는 데 도움을 줍니다.
- 흉부 CT 검사: 필요시, 보다 정밀한 검사를 위해 시행됩니다.



폐결핵의 치료 방법
항결핵제 병합 요법
폐결핵 치료는 여러 항결핵제를 병합하여 장기간 복용하는 것이 기본입니다. 일반적으로 다음과 같은 약물이 사용됩니다.
- 이소니아지드 (Isoniazid)
- 리팜핀 (Rifampin)
- 에탐부톨 (Ethambutol)
- 피라진아미드 (Pyrazinamide)
치료 단계
- 초기 2개월: 4가지 항결핵제를 모두 복용합니다.
- 추가 4개월: 이소니아지드와 리팜핀을 계속 복용합니다.
총 치료 기간은 최소 6개월이며, 환자의 상태에 따라 연장될 수 있습니다. 약제 내성 결핵의 경우, 더 긴 치료 기간과 다양한 항결핵제가 필요할 수 있습니다.
치료 관리
- 정기적인 검사: 치료 중에는 정기적으로 객담 검사와 흉부 X-선 검사를 통해 치료 효과를 모니터링합니다.
- 약물 복용 준수: 처방된 기간 동안 꾸준히 약을 복용하는 것이 중요하며, 임의로 치료를 중단하면 약제 내성이 발생할 수 있습니다.



폐결핵의 효과적인 예방 방법
면역력 강화
면역력을 높이는 것은 결핵 예방에 중요한 역할을 합니다. 다음과 같은 방법으로 면역력을 강화할 수 있습니다.
- 균형 잡힌 영양 섭취: 영양가 있는 식사를 통해 신체의 면역력을 유지합니다.
- 충분한 수면: 규칙적인 수면 패턴을 유지하여 면역 체계를 강화합니다.
- 규칙적인 운동: 적절한 운동은 전반적인 건강과 면역력 향상에 도움이 됩니다.
접촉자 관리
결핵 환자와 접촉한 경우, 즉시 보건소나 의료기관에서 접촉자 검진을 받아야 합니다. 고위험군에 속하는 사람들은 정기적인 검진을 통해 조기 발견과 치료가 중요합니다.
기침 예절 준수
기침이나 재채기를 할 때는 휴지나 옷소매로 입과 코를 가리고, 사용한 휴지는 즉시 쓰레기통에 버려야 합니다. 이는 결핵균의 전파를 줄이는 데 효과적입니다.
마스크 착용과 환경 관리
- 마스크 착용: 공공장소나 다중 이용 시설에서는 마스크를 착용하는 것이 권장됩니다. 특히 호흡기 증상이 있는 경우 반드시 마스크를 착용해야 합니다.
- 환기: 실내 공간은 자주 환기하여 공기를 깨끗하게 유지하는 것이 중요합니다.



결론
폐결핵은 적절한 치료와 예방을 통해 완치가 가능한 질병입니다. 초기 증상을 인지하고 조기에 의료기관을 방문하는 것이 중요하며, 항결핵제의 꾸준한 복용과 면역력 강화를 통해 효과적으로 관리할 수 있습니다.
예방접종과 철저한 위생 관리, 면역력 강화는 폐결핵 예방에 필수적인 요소입니다. 건강한 생활 습관을 유지하며 폐결핵의 위험을 최소화하시기 바랍니다.