1. 뇌출혈이란 무엇인가?
뇌출혈은 뇌 속의 혈관이 터져서 혈액이 뇌 조직에 쏟아지는 심각한 뇌혈관 질환입니다. 출혈이 발생하면 뇌조직을 압박하고 손상시키며, 이는 생명을 위협할 수 있는 응급 상황을 초래할 수 있습니다.
뇌출혈은 발생 위치에 따라 여러 종류로 나뉩니다. 예를 들어, 뇌실질 내 출혈, 지주막하 출혈, 경막하 출혈, 경막 외 출혈 등이 있으며, 각 유형에 따라 증상과 치료 방법이 달라집니다.



2. 뇌출혈의 주요 원인
고혈압
뇌출혈의 가장 흔한 원인은 고혈압입니다. 고혈압은 시간이 지나면서 혈관을 약화시키고 파열을 일으킬 수 있습니다. 특히, 수축기 혈압이 계속해서 높은 상태를 방치하면 뇌출혈의 위험이 급격히 증가합니다.
외상성 뇌손상
교통사고, 낙상 등 강한 충격이 뇌혈관을 손상시켜 출혈을 유발할 수 있습니다. 특히 노인과 어린이는 가벼운 충격에도 뇌출혈이 발생할 수 있기 때문에 더욱 주의해야 합니다.
선천적 혈관 이상
뇌동맥류나 혈관기형과 같은 선천적인 혈관 이상도 뇌출혈을 일으킬 수 있습니다. 이러한 혈관 이상은 평소에는 증상이 없다가 갑자기 파열될 수 있습니다.
항응고제 사용
항응고제를 복용하는 환자나 혈액 응고 장애가 있는 사람들도 뇌출혈의 위험이 높습니다.



3. 뇌출혈의 전조 증상
뇌출혈이 발생하기 전에는 여러 전조 증상이 나타날 수 있습니다. 가장 흔한 증상은 갑작스러운 심한 두통입니다. 이 두통은 '인생 최악의 두통'이라 불릴 만큼 강렬하며, 구토를 동반하기도 합니다. 그 외에도 의식 저하, 한쪽 팔다리의 마비, 언어 장애, 시야 흐림 등의 증상이 나타날 수 있습니다.



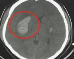
4. 뇌출혈 진단 방법
뇌출혈을 정확히 진단하기 위해서는 뇌 CT나 MRI 검사를 진행합니다. CT 검사는 빠르게 출혈의 위치와 크기를 확인할 수 있어 응급 상황에서 중요한 역할을 합니다. 또한 혈액검사를 통해 혈액 응고 상태를 확인하고, 필요한 경우 뇌혈관조영술을 통해 출혈의 원인인 혈관 문제를 파악할 수 있습니다.



5. 뇌출혈의 치료 방법
수술적 치료
출혈의 위치와 크기, 환자의 상태에 따라 수술적 치료가 필요할 수 있습니다. 대표적인 수술 방법은 혈종 제거술, 뇌동맥류 결찰술 등이 있습니다.
내과적 치료
내과적인 치료에는 혈압 조절, 뇌압 강하제 투여, 항경련제 사용 등이 포함됩니다. 이러한 치료는 혈압을 안정시키고 뇌를 보호하는 데 도움을 줍니다.
재활 치료
뇌출혈 후 기능 회복을 위해 재활 치료가 필수적입니다. 언어치료, 작업치료 등을 통해 마비된 부위를 회복할 수 있습니다.



6. 뇌출혈 예방 방법
고혈압 관리
고혈압을 철저히 관리하는 것이 뇌출혈 예방의 핵심입니다. 정기적으로 혈압을 측정하고, 필요한 경우 의사의 처방에 따라 혈압약을 복용해야 합니다.
건강한 생활습관
흡연과 과도한 음주는 뇌출혈의 위험을 크게 증가시킵니다. 금연과 절주, 규칙적인 운동과 균형 잡힌 식사를 통해 혈관 건강을 유지하는 것이 중요합니다.
스트레스 관리
스트레스는 혈압을 높일 수 있기 때문에 스트레스를 관리하는 방법을 찾아 실천해야 합니다.
정기적인 건강검진
특히 항응고제를 복용 중인 사람은 정기적으로 검사를 받아야 하며, 머리에 충격을 받은 후 증상이 없더라도 반드시 검진을 받는 것이 좋습니다.



7. 뇌출혈과 관련된 자주 묻는 질문
Q1. 뇌출혈의 초기 증상이 무엇인가요?
뇌출혈의 초기 증상은 갑작스러운 두통, 의식 저하, 마비, 언어 장애 등이 있습니다.
Q2. 뇌출혈을 예방할 수 있는 방법은 무엇인가요?
고혈압 관리와 건강한 생활습관을 유지하는 것이 예방의 핵심입니다.